Clear aligners offer a simple, nearly invisible way to correct alignment.
Whether you are 25 or 65, it’s never too late to rebuild your confidence and feel truly comfortable with your smile.
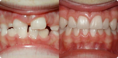
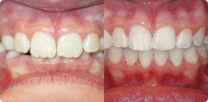
Many people with uneven, crowded, or teeth gaps simply learn to live with it. Over time, you may become conscious of your smile, hold back in conversations or avoid being fully expressive in photos. What starts as a small concern can slowly turn into a quiet insecurity, affecting your confidence in ways you may not even realise. It also leads the way for many dental concerns like cavities and gum problems. But it doesn’t have to stay that way. While living with misaligned teeth may feel normal, taking the step to fix them can feel difficult. The good news? With modern Orthodontics, aligning your dream smile is much easier and faster than what most people expect.
Crowding – overlapping or cramped teeth
Crossbite – upper teeth sit inside lower teeth
Spacing – gaps between teeth
Overjet – forward-placed upper teeth
Edge-to-Edge Bite – upper and lower teeth meet directly
Openbite – teeth don’t touch when biting
Teeth may become crowded, spaced, or misaligned for many reasons, hereditary, habitual or developmental. These common alignment issues can be corrected with modern orthodontic treatment.
Modern orthodontic treatments can effectively correct crooked teeth, spacing, and bite problems. Depending on your dental condition and preferences, dentists typically recommend one of the following treatment options.
Clear aligners are transparent covers designed to fit snugly over your teeth and gently guide them into better alignment over time. Each aligner is custom-made and replaced periodically as the teeth gradually move into their ideal position.
Because they are subtle and removable, many people choose aligners as a convenient way to straighten their teeth.
Braces use small brackets attached to the teeth and connected with a thin wire to gradually move teeth into the correct position. Over time, the dentist adjusts the wire to guide the teeth into proper alignment.
Braces are a well-established orthodontic treatment and are commonly used to correct crowding, gaps, and bite issues.
Clear aligners are thin, transparent covers that fit over your teeth and gently move them into the desired alignment for a better smile and bite over time. It is so discreet that it blends effortlessly with your smile. Each aligner is customised for your teeth and bite needs, designed to guide them step by step into their correct position. They are smooth, comfortable to wear, and can be removed while eating or brushing, making it easy to continue your everyday normal routine. Over time, these small, planned movements gradually transform uneven or crowded teeth into a straighter, more confident and naturally expressive smile.
The most reliable and natural-looking solution for missing teeth
Straighten your smile without visible metal or wires.
Remove them easily to eat, drink, and brush as usual.
Smooth trays made to feel easy on your teeth.
Digitally guided treatment with clear, steady results.
No food traps or brushing challenges.
Custom-designed aligners shaped around your smile and lifestyle.
See the life-changing results our dental aligner patients enjoy
Arjun Mehta
Mumbai
Kavita Sharma
Bangalore
Neha Joshi
Delhi
Strict sterilisation and hygiene standards to ensure a safe, worry-free aligner experience.
Aligner treatment planned and supervised by specialists trained in tooth movement, digital planning, and bite correction.
State-of-the-art scanning and 3D planning provide accurate, predictable tooth movement and shorter treatment timelines.
Standardised aligner protocols across 715+ clinics deliver uniform, reliable results for every patient.
With 715+ clinics in 26+ cities, access care anywhere—your records stay digital, clinics are open on weekends, with late appointments available.
Take the first step towards a smile that feels natural, confident, and truly you.
Personalised Smile Assessment
Understand your teeth alignment and treatment needs.
Guidance by Invisalign Certified Orthodontists
Know if aligners are right for your smile.
Clear Treatment Plan
Get clarity on time, process, and next steps.
Expected Results Preview
See how your smile can improve over time.
A smooth, easy-to-follow, orthodontist-supervised aligner journey that straightens your teeth comfortably with regular check-ins and predictable progress.
We take digital scans, X-rays (if needed), and assess your bite to map out exact tooth movements. This scan usually takes 15–20 minutes followed by the orthodontist addressing your concerns and helping you understand the way forward.
Your orthodontist designs a personalised digital treatment plan and orders custom aligners. You receive a clear preview of expected results before starting.
Your first set of trays is fitted, bite is checked, and you're taught how long to wear each set (usually 20–22 hours/day for 10–14 days per tray).
Short check-ups every 6–8 weeks to monitor movement, make adjustments, and hand over the next set of aligners.
Once alignment is complete, retainers are provided to maintain results. Follow-up visits help ensure your new smile stays stable.
| Factor | Orthodontist-Supervised Aligners | DIY/Home Aligner Kits |
|---|---|---|
| Diagnosis & X-rays | Full clinical exam + X-rays to detect cavities, gum issues, bone levels | No X-rays; risks hidden problems |
| Treatment Accuracy | Orthodontist-planned, monitored tooth movements | Algorithm-based movements, no in-person supervision |
| Attachments & IPR | Included where needed for precise movement | Not provided limits results |
| Safety | Continuous monitoring prevents gum recession, bite issues | Higher risk of complications going unnoticed |
| Suitability Check | Only recommended after confirming you’re a safe candidate | One-size-fits-all approvals |
| Result Quality | High predictability and stable long-term outcomes | Results vary; many cases end unfinished |
| Support | In-clinic check-ins + emergency care | Remote customer support only |
| Complex Cases | Can treat moderate–complex cases | Mostly mild cases only |
Investment Note: Orthodontics is a complex science that requires precise diagnosis, controlled tooth movement, and continuous monitoring. When aligner treatment is not planned or supervised by a trained orthodontist, even small errors in movement can lead to bigger problems like bite collapse, or teeth shifting in the wrong direction. A slightly higher cost ensures safer, medically supervised, predictable, and long-lasting results, not just cosmetic alignment.
At Clove Dental, we believe in giving you both and clarity. That's why we offer multiple globally trusted clear aligner brands each designed to suit different smile needs, lifestyles and budgets
Our Orthodontists assess your smile goals, treatment duration, and budget to recommend the best aligner system.
India’s tech-driven aligners designed for mild to moderate crowding, spacing, and misalignment, fast, affordable, and effective.
World’s #1 clear aligner brand using SmartTrack® material for faster, precise tooth movements, ideal for complex cases and international continuity.
Clove Dental offers world-class aligner treatment starting at ₹55,150 to suit your budget.
| Aligner Brand | Starting Price |
|---|---|
| Whistle | ₹ 55,150 |
| Invisalign | ₹ 144,550 |
Digital scanners have become an indispensable tool in modern Orthodontics, fundamentally changing
how treatments are planned and executed. Traditional methods of using messy impression materials
that make you gag are out of practice now. Without scanners an Orthodontist simply can't match the
precision and accuracy that 3D digital scans provide - from treatment planning to final results.
Orthodontists who still rely on manual impressions might be charging lower for treatments but will
not be able to give the patients enhanced predictability, better treatment planning or even measure
progress along the way of achieving results.
In today's Orthodontic landscape, digital scanners aren't optional - they're essential for
delivering the level of care patients deserve.
Take the first step towards a smile that feels natural, confident, and truly you.
Personalised Smile Assessment
Understand your teeth alignment and treatment needs.
Guidance by Invisalign Certified Orthodontists
Know if aligners are right for your smile.
Clear Treatment Plan
Get clarity on time, process, and next steps.
Expected Results Preview
See how your smile can improve over time.
Common questions about Aligners
Aligners may cause mild pressure when switching trays, but discomfort is minimal and temporary.
Immediately, just remove the tray while eating or drinking anything except water.
Often yes, thanks to precise 3D planning.
Most issues like crowding, spacing, or mild bite problems can be corrected; complex cases may need braces.
Yes. Smooth tray edges avoid irritation common with metal braces.
Yes, clear aligners are safe for teens once permanent teeth have fully erupted.
Real smiles, real stories. Here's what our patients love about their CLOVE Dental experience!
Clear aligners give you a beautifully aligned smile, but maintaining it requires small, consistent habits. These simple steps help keep your teeth stable and your results long-lasting.
Retainers keep your teeth from shifting back. Wear them exactly as advised to maintain your new smile.
Brush and floss twice daily. Use mild cleansers and avoid hot water to keep your retainers clean and clear.
Limit coffee, tea, wine, and smoking. Rinse before putting retainers back to reduce staining.
Visit your orthodontist as recommended. Follow-ups ensure your teeth stay stable and your bite remains healthy.

Clove Dental has clinics in 27 cities in India. Find the nearest one for expert Dental Implant care at a reasonable cost.
Clove Dental clinics are Available in 27 Indian Cities. Book an appointment at Clove Dental Clinics for the best dental treatments by expert dentists/orthodontists for Clear Aligners / Invisible Braces at a reasonable cost. Select your city below to find the best option: